This patient has pocket depths 5 to 7 millimeters deep.
During surgery tartar and infected tissue was removed from the roots.
Before tissue removal
After tissue removal
After surgery the patient has pocket depths of 2 to 3 millimeters.
Notice how the space between the teeth is accessible for cleaning with brushes.
LaRisse Skene Periodontist in Salt Lake City Utah
Thursday, June 30, 2011
Monday, February 14, 2011
Dental Implants
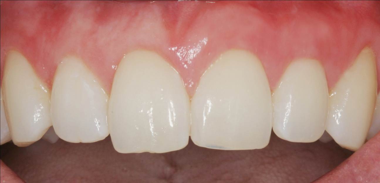
This patient was born without 2 of his front teeth.
Implants were placed with immediate temporary teeth. This is six weeks after healing.
This patient has a failing dentition due to periodontal disease. The plan is to place implants, allow them to heal, and extract remaining teeth after the implants have integrated.
This is the day of implant placement
This is the day the failing teeth were extracted.
Here is the tissue healed after extraction.
Here is the patients denture which was attached to the implants.
Before
After
....
Implants were placed with immediate temporary teeth. This is six weeks after healing.
This patient has a failing dentition due to periodontal disease. The plan is to place implants, allow them to heal, and extract remaining teeth after the implants have integrated.
This is the day of implant placement
This is the day the failing teeth were extracted.
Here is the tissue healed after extraction.
Here is the patients denture which was attached to the implants.
Before
After
....
Crown Lengthening
This patient has excess tissue that makes it difficult for the orthodontist to see the teeth.
After crown lengthening the teeth can be easily visualized.
Before
After
After crown lengthening the teeth can be easily visualized.
Before
After
Subscribe to:
Comments (Atom)































